Energy level: good in the morning – complete exhaustion in the evening
Pain level: 2
2 Tylenol in the late afternoon
Dunking one’s feet in ice water first thing in the morning is so much more effective that a vat of coffee. JP smiles as he prepares the dunking tanks for contrast bath physical therapy. I don’t know what I would do without his support and carrying water buckets! We both get a good laugh out of the sounds and faces I make during the good morning ice water dunk.
I find it to be a fascinating comparison when two feet feel different sensations yet are subjected to the same stimulus. The contrasts lessen with each dunk, but the initial is always shocking. One foot feels like it is at the spa in a warm water bath and the other is on fire.
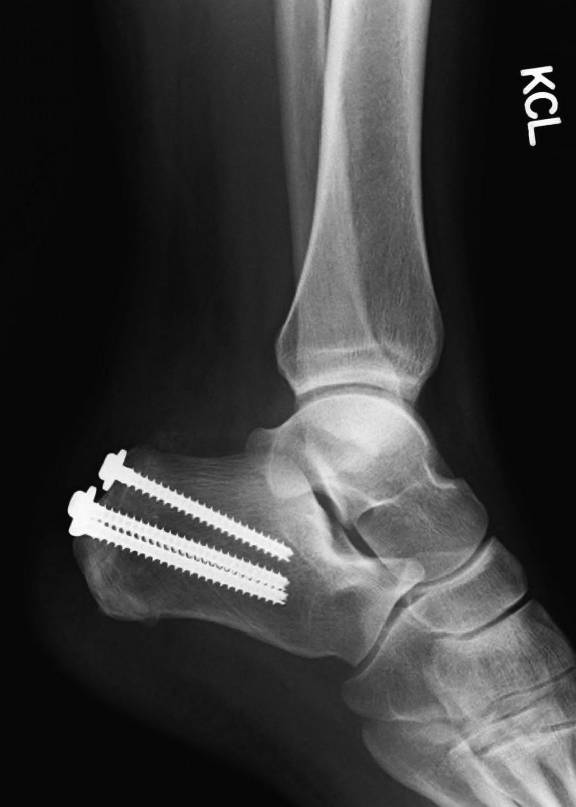
The warm water works wonders on range of motion. However, as I regain some movement in the ankle I can feel the screw and washer rubbing against my Achilles tendon, not pleasant at all.
My energy cuts out at 5:00 sharp. JP has to work late so I figure that I’ll just hop in a taxi. There’s a slight drizzle as I j-walk across the street to the taxi stand. I should have been tipped off by hotel doorman cautiously guarding his brood of 20 people waiting for a cab, but the thrill of hopping across NM Street invigorates me and I hop down to the street corner in an effort to hail the first cab that crosses Market Street. I have obviously underestimated San Franciscans' devotion to staying dry as a hundred full cabs wiz on by. Then it starts to pour.
Is there nothing more pathetic than a girl in the pouring rain with no umbrella trying to hail a cab with an outstretched crutch? Apparently this is not a particularly shocking image in a city where our mantra and motto is “Only In San Francisco”.
Soaking and shivering I finally give in and call JP requesting for an emergency pick up.
The city always seems to freak out when water falls from the sky. I’ve heard fellow San Franciscans describe the city as a place of fog by no rain. Yet, every winter and spring it does rain for many days in every month from November to May. Perhaps San Franciscans easily forget because SF showers tend to only last a few hours when most folks are inside.
Even though JP dropped everything to rush to my aid, it still took him half an hour to dive six blocks, by which time it’s been an hour since I have been stuck in the rain. We arrive home. Exhausted and soaked to the bone, I fall into bed and sleep for a solid 12 hours.
Wednesday, March 31, 2010
Tuesday, March 30, 2010
post op day 53 - hokey pokey
Energy level: tired in the am, but good energy by noon
Pain level: 1
What an exciting day! My first physical therapy regiment is the “contrast bath” which is supposed to stimulate the nerves but placing the foot in warm water (105 F) and then dunking it in cold water (60 F).
The Contrast Bath Hokey Pokey
You put your left foot in (2 minutes warm water)
You put your left foot out
You put your left foot in (30 seconds on ice water)
And you DON’T shake it all about
They recommend shaking it all about only in the warm bath, not the cold bath.
The first warm bath burns and the first cold bath stings. Oddly, the second warm bath stings and tingles. The effects lessen with each dunk.
I do both feet as I figure what is good for the goose is good for the gander. The first dunk seems to overwhelm the nerves in the recovering foot, so the companion foot going though the same treatment actually brings much comfort to the injured foot by helping the injured foot know what to expect and what is what is normal.
Pain level: 1
What an exciting day! My first physical therapy regiment is the “contrast bath” which is supposed to stimulate the nerves but placing the foot in warm water (105 F) and then dunking it in cold water (60 F).
The Contrast Bath Hokey Pokey
You put your left foot in (2 minutes warm water)
You put your left foot out
You put your left foot in (30 seconds on ice water)
And you DON’T shake it all about
They recommend shaking it all about only in the warm bath, not the cold bath.
The first warm bath burns and the first cold bath stings. Oddly, the second warm bath stings and tingles. The effects lessen with each dunk.
I do both feet as I figure what is good for the goose is good for the gander. The first dunk seems to overwhelm the nerves in the recovering foot, so the companion foot going though the same treatment actually brings much comfort to the injured foot by helping the injured foot know what to expect and what is what is normal.
Monday, March 29, 2010
post op day 52 - pt time!
Energy level: low
Pain level: 1 – 3
No pain in the foot today, but lower back is another matter. My hips are twisted from hopping around on one leg and this is impacting the happiness of my lower back. This compounded with fatigue and a headache makes for a very unhappy camper.
Today’s pop quiz: When is it a good sign if your foot turns blue?

When you are ready for physical therapy!
Whoo hoo! Apparently there was a party in my foot were all my nerves decided to reconnect – sort of like a class reunion. Hey guys, I’m glad to have you back, but did you have to scare the bejesus out of me... by turning the entire foot a ghastly shade of purple?
There's nothing like calling the doctor's office to ask why I have a blue foot to get a same-day priority appointment for the doctor and yet another x-ray.
Physical therapy is an order and that means that I am two weeks ahead of schedule. The doc also says that he only wants me using one crutch by the next time he sees me.
I may have over done it a bit last week with walking and using public transit to get to work. Now that JP is home he can drive me to work. Door to door service makes a huge difference.
My palms are not screaming in pain today, so it is nice to see that they have recovered.
Pain level: 1 – 3
No pain in the foot today, but lower back is another matter. My hips are twisted from hopping around on one leg and this is impacting the happiness of my lower back. This compounded with fatigue and a headache makes for a very unhappy camper.
Today’s pop quiz: When is it a good sign if your foot turns blue?

When you are ready for physical therapy!
Whoo hoo! Apparently there was a party in my foot were all my nerves decided to reconnect – sort of like a class reunion. Hey guys, I’m glad to have you back, but did you have to scare the bejesus out of me... by turning the entire foot a ghastly shade of purple?
There's nothing like calling the doctor's office to ask why I have a blue foot to get a same-day priority appointment for the doctor and yet another x-ray.
Physical therapy is an order and that means that I am two weeks ahead of schedule. The doc also says that he only wants me using one crutch by the next time he sees me.
I may have over done it a bit last week with walking and using public transit to get to work. Now that JP is home he can drive me to work. Door to door service makes a huge difference.
My palms are not screaming in pain today, so it is nice to see that they have recovered.
Sunday, March 28, 2010
post op day 51 - sunny sunday
Energy level: low
Pain level: 1
Today it brought to you by an occasional itching and tingling – something is at work down there :)
The sun wakes me up and I am only slightly achy. Yeah!! A huge improvement over yesterday!
Around mid morning I look down and notice that my foot has yet again turned a ghastly shade of purple. Massaging and elevating bring back the color. Whew!
The highlight of the day is spending a few minutes in the backyard absorbing some vitamin D.
Heck with the sun block - that stuff is preventing absorption of the vitamin D my bones so desperately need.
I define tiredness as being too tried to play video games and today I’m too tired to even playWii archery. Wow! That's low. I can read a bit, but that is the extent of energy expelled for the day. Early to bed …and early and eager to go to work on Monday!
Pain level: 1
Today it brought to you by an occasional itching and tingling – something is at work down there :)
The sun wakes me up and I am only slightly achy. Yeah!! A huge improvement over yesterday!
Around mid morning I look down and notice that my foot has yet again turned a ghastly shade of purple. Massaging and elevating bring back the color. Whew!
The highlight of the day is spending a few minutes in the backyard absorbing some vitamin D.
Heck with the sun block - that stuff is preventing absorption of the vitamin D my bones so desperately need.I define tiredness as being too tried to play video games and today I’m too tired to even play
Saturday, March 27, 2010
post op day 50 - smurf feet
It’s a beautiful spring day! Perfect for a strong dose of vitamin D.
Energy level: Extreme fatigue - good energy at the start of the day, but fades by noon
Pain level: 3 – wake up with sore hips and sore palms
About mid morning I look down at my toes and notice that they are a ghastly shade of purple. Massaging brings the color back. Massaging is also good for the calf. It is a strange sensation to try to find the calf muscle which has shrunk half its size and I have to search to find it between floating between layers of skin and fat.
An odd, but slight headache develops in the afternoon. There is also the occasional tiny stabbing pain on the outside of the foot – not near the incision at all – followed by a few minutes of a throbbing near the Achilles tendon. This is just totally random throughout the day but does not warrant pain killers.
By the evening, my entire body is achy – from the neck and trapezius to the hip on the right side (surely a result of using crutches) to the achy calf and left foot. It seems the more I rest, the more I ache. Very strange.
This day is dedicated to rest and the night belongs to pain medication and sleep.
Energy level: Extreme fatigue - good energy at the start of the day, but fades by noon
Pain level: 3 – wake up with sore hips and sore palms
About mid morning I look down at my toes and notice that they are a ghastly shade of purple. Massaging brings the color back. Massaging is also good for the calf. It is a strange sensation to try to find the calf muscle which has shrunk half its size and I have to search to find it between floating between layers of skin and fat.
An odd, but slight headache develops in the afternoon. There is also the occasional tiny stabbing pain on the outside of the foot – not near the incision at all – followed by a few minutes of a throbbing near the Achilles tendon. This is just totally random throughout the day but does not warrant pain killers.
By the evening, my entire body is achy – from the neck and trapezius to the hip on the right side (surely a result of using crutches) to the achy calf and left foot. It seems the more I rest, the more I ache. Very strange.
This day is dedicated to rest and the night belongs to pain medication and sleep.
WEEK 8 | POST OPERATION
Energy level: Strained
Pain level: Variable
Epiphany: Padded bicycle gloves are so handy when using crutches – which really is the equivalent of walking on your hands.
Milestone: Start basic physical therapy with contrast baths to encourage nerve growth.
Pain level: Variable
Epiphany: Padded bicycle gloves are so handy when using crutches – which really is the equivalent of walking on your hands.
Milestone: Start basic physical therapy with contrast baths to encourage nerve growth.
Friday, March 26, 2010
post op day 49 - happy friday
Energy level: Good
Pain level: 2 – morning is fine, mild pain in the evening in the arch... odd...
It's Friday, i'm in love.... with being at work!
Whew! Made it though an entire week at work! Woo hoo! The sun was taunting me for a walk in the park, but I just wasn’t up for that much adventure, so JP brought a picnic to my office instead. Looking forward to feeling the grass beneath my feet in May. The sky is blue, the hills are green and life is good.
Pain level: 2 – morning is fine, mild pain in the evening in the arch... odd...
It's Friday, i'm in love.... with being at work!
Whew! Made it though an entire week at work! Woo hoo! The sun was taunting me for a walk in the park, but I just wasn’t up for that much adventure, so JP brought a picnic to my office instead. Looking forward to feeling the grass beneath my feet in May. The sky is blue, the hills are green and life is good.
I love San Francisco!
Thursday, March 25, 2010
post op day 48 - 4 pills 4 pain
Energy level: Good
Pain level: 2
Take two Tylenol in the morning and two more after lunch. It’s so good to be back at work, but very tiring.
On the plus side, now that the wound has dried out quite a bit now that is only lightly wrapped in gauze and looks a ton better!
Pain level: 2
Take two Tylenol in the morning and two more after lunch. It’s so good to be back at work, but very tiring.
On the plus side, now that the wound has dried out quite a bit now that is only lightly wrapped in gauze and looks a ton better!
Wednesday, March 24, 2010
post op day 47 - super supply
Energy level: Good as can be expected
Pain level: 2 – morning is fine, mild stabbing pain in the evening
It's wonderful that everyday has a bit of progress! Every step counts!
The hardest this is not being able to go out and get my own lunch. I have to admit that I’m a wee bit tired of eating power bars for lunch. JP stocked me up with supplies before he left for Japan and there’s still plenty of snacks and about 4 gallons of water stashed under my desk. The earthquake marshal would be so proud. Fortunately JP comes home tonight! Yea! Happy day!
Pain level: 2 – morning is fine, mild stabbing pain in the evening
It's wonderful that everyday has a bit of progress! Every step counts!
The hardest this is not being able to go out and get my own lunch. I have to admit that I’m a wee bit tired of eating power bars for lunch. JP stocked me up with supplies before he left for Japan and there’s still plenty of snacks and about 4 gallons of water stashed under my desk. The earthquake marshal would be so proud. Fortunately JP comes home tonight! Yea! Happy day!
Tuesday, March 23, 2010
post op day 46 - 1 bus stop
Energy level: Good, but irritable
Pain level: 2 – general morning soreness - take two Tylenol and call it a morning.
I’ve never been so tired at my desk job. The exhaustion hits about 5:00. Fortunately there are plenty of news letters to catch up on, but I find myself reading the same sentence for an hour.
I still feel silly for taking the bus for just one stop. I’ve always described my house as being just one block from the subway. I never counted the little half blocks before. Well, I’m counting them now with every step. I decide the trek home is three blocks too many and wait for the bus. Going down hill on a fresh morning is one thing, but coming home after work is another.
Pain level: 2 – general morning soreness - take two Tylenol and call it a morning.
I’ve never been so tired at my desk job. The exhaustion hits about 5:00. Fortunately there are plenty of news letters to catch up on, but I find myself reading the same sentence for an hour.
I still feel silly for taking the bus for just one stop. I’ve always described my house as being just one block from the subway. I never counted the little half blocks before. Well, I’m counting them now with every step. I decide the trek home is three blocks too many and wait for the bus. Going down hill on a fresh morning is one thing, but coming home after work is another.
In the evening I’m too tired to change the channel and not only watched all two hours of American Idol, but manage to find the energy to pick up the phone and vote too. I am now part of American pop culture! I resisted for so long, but hey, break my legs and I give in pretty easily.
Monday, March 22, 2010
post op day 45 - crutch victory!
Energy level: Good
Pain level: low – general soreness and achy calf
Wake up with a slight soreness. Perhaps ace bandage was too tight? Two Tylenol and a banana. Toes are still sore from last week’s slip in tub.
It’s a beautiful day and I’m excited to go to work. It will be my first attempt to “walk” to BART by myself. What normally takes 20 minutes takes almost an hour. I’ve never sweated so much after three blocks.
Bonus challenge: Fire drill! Was it necessary to have me race 100 people down three flights of stairs on my first full day back to work? I don’t win the race, but I finished, dead last and that was victory enough.
Palms are sore, lower back is sore, hips are sore – all work of the evil crutches. Can’t sleep due to soreness take Tylenol for the first time to deal with pain in other places than the heel.
Pain level: low – general soreness and achy calf
Wake up with a slight soreness. Perhaps ace bandage was too tight? Two Tylenol and a banana. Toes are still sore from last week’s slip in tub.
It’s a beautiful day and I’m excited to go to work. It will be my first attempt to “walk” to BART by myself. What normally takes 20 minutes takes almost an hour. I’ve never sweated so much after three blocks.
Bonus challenge: Fire drill! Was it necessary to have me race 100 people down three flights of stairs on my first full day back to work? I don’t win the race, but I finished, dead last and that was victory enough.
Palms are sore, lower back is sore, hips are sore – all work of the evil crutches. Can’t sleep due to soreness take Tylenol for the first time to deal with pain in other places than the heel.
Sunday, March 21, 2010
post op day 44 - scabs
Energy level: extremely low
Pain level: 2
Sigh…. another day of rest.
Although my only exertion is getting from the bed to the couch today my heel is achy by noon – Tylenol to the rescue!
The scabs are starting to dry up.
Ewww!
Pain level: 2
Sigh…. another day of rest.
Although my only exertion is getting from the bed to the couch today my heel is achy by noon – Tylenol to the rescue!
The scabs are starting to dry up.
Ewww!
Saturday, March 20, 2010
WEEK 7 | POST OPERATION
Energy level: Building
Pain level: Fading
Epiphany: Showers are for the sure footed or two footed kind. Back to baths and rubber duckies for me!
Milestone: Back to work full time, but not strong enought to get to and from work solely by public transit. Scabs are closed enough to get the foot fully wet. The first shower is tricky, but ok – second shower results in a slip and fall. Standing in a slippery shower on one foot is a bad idea. Will wait until I am full weight bearing to try showering again.
Pain level: Fading
Epiphany: Showers are for the sure footed or two footed kind. Back to baths and rubber duckies for me!
Milestone: Back to work full time, but not strong enought to get to and from work solely by public transit. Scabs are closed enough to get the foot fully wet. The first shower is tricky, but ok – second shower results in a slip and fall. Standing in a slippery shower on one foot is a bad idea. Will wait until I am full weight bearing to try showering again.
Tuesday, March 16, 2010
post op day 39 - atrophy
Energy level: low, low, low
Pain level: 2
HR said I can’t work in the office until I have a written note that says that I can work “in the office”. I’m kind of glad that I’ve been sent home. I’m exhausted from yesterday’s outing to the doctor’s and to the office.
I feel productive working from home and reward myself with my first shower! Baths have been nice and relaxing, but I’m feeling that it’s time to push to the next level and stand upright in the tub. I’m extremely cautious and ta-da! Success and squeaky clean!
Another realization. The doctor said I had atrophy and looking closely I see from the side view that my legs are two very different sizes!
Pain level: 2
HR said I can’t work in the office until I have a written note that says that I can work “in the office”. I’m kind of glad that I’ve been sent home. I’m exhausted from yesterday’s outing to the doctor’s and to the office.
I feel productive working from home and reward myself with my first shower! Baths have been nice and relaxing, but I’m feeling that it’s time to push to the next level and stand upright in the tub. I’m extremely cautious and ta-da! Success and squeaky clean!
Another realization. The doctor said I had atrophy and looking closely I see from the side view that my legs are two very different sizes!
Atrophy is the wasting away due to non use. I was somewhat aware of the lack of muscle tone around week three, but now that I'm off the heavy drugs the difference really hits me. What amazes me most is that there is virtually no change in the muscle tone on the right side which at the most gets 20 paces a day. My only travels for the past 5 weeks have been to the toilet and back to the couch.
Monday, March 15, 2010
post op day 38 - dr. happy
Energy level: good
Pain level: 2
Pain level: 2
Great news! I am one step closer to being back on my feet again! (puns intended)
The bone has compleatly fused back together and I've never seen Dr.D so happy. He is almost giddy as he shows me the lack of any fracture lines on the x-ray.
I have the green light to go to work today - whoo hoo! Thank you everyone for all of your support!
The bone has compleatly fused back together and I've never seen Dr.D so happy. He is almost giddy as he shows me the lack of any fracture lines on the x-ray.
I have the green light to go to work today - whoo hoo! Thank you everyone for all of your support!
It was smart to start back with just a half day. I’m tired by the time I get to work from the doctor’s office. The first thing I do at work is pop two Tylenol.
I asked the doctor if I should be worried about that that giant blue spot on the bottom of my foot. Apparently that blue spot in the middle of my foot is "normal" and will dissipate over time. I only noticed it last week and already (as seen in this photo) it is starting to fade. When I try to put weight on my foot I get a sharp stabbing pain in this exact spot, which is why I was wondering if it was significant. Apparently I worry too much.
I wish I had taken a photo of when
I started to shed my snake skin. By the time this photo was taken, I shed almost 80% of my calloused skin. The new skin is as smooth as a baby's bottom! I love my new soft skin!
Oh how I miss the third grade.
Saturday, March 13, 2010
post op day 36 - 1st day out
Energy - fantastic! but overexertion brings it back to an extreme low
Pain - 1
I couldn’t ask for a finer March day for my first outing. The destination: Gallery reception. As an alumnus, my work is being sold at the Faculty and Alumni auction to raise scholarship money.
The stairs have keep me prisoner in my own tower for six weeks. My first voluntary venture down the stairs goes better than planned a an I make it down the stairs in “record” time – one step at a time. Crutches down, swing, rest, repeat.
On the side walk, I loose steam after the first 100 feet. Normally this journey takes 25 minutes door-to-door. Non-weight bearing crutch “walking” is one of the most strenuous activities ever! Have I lost that much muscle being bedridden for 6 weeks? Or am I sweating profusely due to supporting myself with mostly upper body strength rather that the normal lower body strength?
It takes us almost 25 minutes to go a ¼ mile! By then I’m too tired to “hop” on the escalator. In fact I even get a touch of vertigo.
To the Elevator! Drat those elevators on opposite sides of the station. This adds an extra block of hopping. By the time we get down town I’m really exhausted. I can’t go more than a 100 feet before I need to rest. I steal a moment at every available chair from each sidewalk café along the way.
I arrive at the gallery sweating and exhausted. Fortunately, my office is upstairs. I lay down and rest for an hour! I miss the auction, but am refreshed enough to mingle at the closing reception. Each of my pieces has a red dot – that’s a good sign!
The auction brought in more than $20,000! Woo hoo! 50% of the proceeds to the the School of Photography Student Scholarship fund.
WEEK 6 | POST OPERATION
Energy level: Variable
Pain level: Manageable
Epiphany: I’m afraid of escalators
Milestone: Back to work in the office part time. More scabbing, almost no leakage. Skin on the bottom of the foot is peeling from not being properly scrubbed from over a month.
Pain level: Manageable
Epiphany: I’m afraid of escalators
Milestone: Back to work in the office part time. More scabbing, almost no leakage. Skin on the bottom of the foot is peeling from not being properly scrubbed from over a month.
Saturday, March 6, 2010
WEEK 5 | POST OPERATION
Energy level: Lethargic
Pain level: Sore
Epiphany: Working from home is not for me – I miss the office!
Milestone: Daily bandage changes show some leakage. Bathing with one foot hanging over the tub prevents bandages from getting wet.
Pain level: Sore
Epiphany: Working from home is not for me – I miss the office!
Milestone: Daily bandage changes show some leakage. Bathing with one foot hanging over the tub prevents bandages from getting wet.
Subscribe to:
Comments (Atom)










